Imagine this: even after death, some parts of our brain keep working. It sounds like something out of a science fiction story, but researchers have discovered that certain cells in our brains not only stay active after we pass away, but they also get bigger!
Scientists at the University of Illinois at Chicago have taken a closer look at the human brain after death. They found that while most of us would think all brain activity stops, that’s not entirely true. Some cells, which they’ve nicknamed ‘zombie genes’, actually become more active.
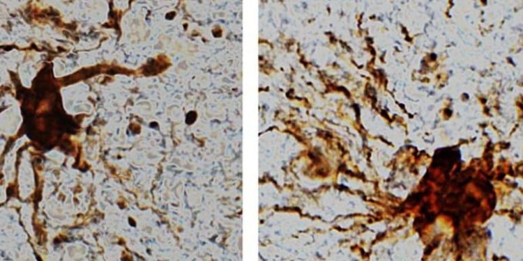
The main characters in this post-mortem drama are cells called glial cells. These cells are like the clean-up crew of the brain, swooping in after injuries to tidy up. What’s surprising is that they not only stick around after death but actually grow and reach out with arm-like extensions.
Dr. Jeffrey Loeb, the study’s lead author, points out that this finding is pretty important. It means researchers looking for cures to brain diseases like Alzheimer’s or autism might have to rethink how they study brain tissues after death. Until now, most scientists have assumed that once the heart stops beating, the brain’s activity stops too. But this isn’t the case.
What Does This Mean for Brain Research?
The team at UIC used brain tissue from surgeries to mimic what happens after death. They analyzed gene expression at different times up to 24 hours after “death.” They noticed that the behavior of the genes didn’t match what previous studies had reported.
They found three groups of genes. The first group stayed pretty stable for a whole day. These are the housekeeping genes, which keep basic cell functions going and are used to judge the quality of tissue in research. The second group, important for brain activities like memory and thinking, broke down quickly after death. But the third group, the ‘zombie genes,’ actually got busier as the others slowed down, peaking around 12 hours after death.
Loeb’s advice to fellow researchers: don’t discard human brain tissue research, just be aware of these changes. Researchers now know which genes and cell types are stable, which break down, and which ramp up their activity over time. This new knowledge helps make sense of results from studies using post-mortem brain tissues.
The takeaway here is that death might not be as black-and-white as we thought, at least not for our brains. The ‘zombie genes’ show us that some cells are fighting to live even when the rest of the body has stopped. It’s a fascinating glimpse into the resilience of life at the cellular level, and a reminder that there’s still so much we don’t understand about the brain, both in life and in death.

